It is recommended that you update your browser to the latest browser to view this page.

Please update to continue or install another browser.

Update Google Chrome
×
Knee Replacement Details

Knee Replacement Details

Knee Replacement

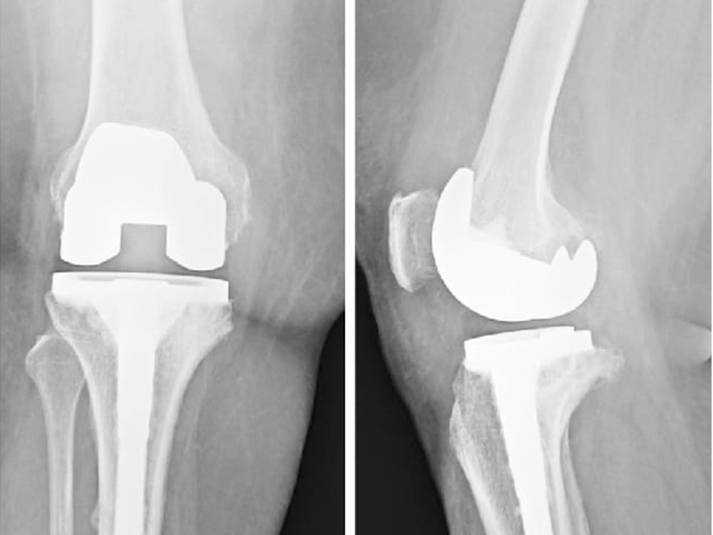
Knee replacement, also known as knee arthroplasty, is a surgical procedure to replace damaged or worn-out parts of the knee joint with artificial components (implants). It is designed to relieve chronic knee pain, restore mobility, and improve quality of life for patients suffering from knee conditions that have not responded to non-surgical treatments.

Types of Knee Replacement Surgery

Total Knee Replacement (TKR)
  • The entire knee joint is replaced with artificial components, including the lower part of the thigh bone (femur), the top of the shin bone (tibia), and the kneecap (patella).
Partial Knee Replacement (PKR)
  • Only the damaged portion of the knee is replaced, preserving healthy parts of the joint.
Bilateral Knee Replacement
  • Both knees are replaced during a single surgery or in staged procedures.

Benefits

  • Minimally Invasive: Smaller incisions, less scarring, and quicker recovery.
  • Accurate Diagnosis: Direct visualization of the joint allows for precise diagnosis and treatment.
  • Shorter Recovery Time: Most patients can resume normal activities within weeks.

Knee Replacement Details